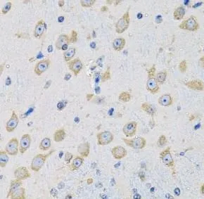
MSRA antibody
CAT:
710-FNab05382
Size:
100 µg
This product is intended to Research Use Only. Not for Diagnostic or In Vivo Applications.
Price:
Ask
- Availability: 24/48H Stock Items & 2 to 6 Weeks non Stock Items.
- Dry Ice Shipment: No








This product is intended to Research Use Only. Not for Diagnostic or In Vivo Applications.








Active Size
CurrentCAT:
710-FNab05382Size:
100 µgPrice:
Ask